
عوارض احتمالی ایمپلنت دندان چیست و چگونه از بروز آنها پیشگیری کنیم؟ راهنمای کامل بیماران
ایمپلنت دندان یکی از پیشرفته ترین و موفق ترین روش های جایگزینی دندان های از دست رفته در دندانپزشکی مدرن محسوب می شود و امروزه میلیون ها نفر در سراسر جهان از این روش برای بازگرداندن زیبایی، عملکرد و سلامت دهان و دندان خود استفاده می کنند. با وجود درصد موفقیت بالا، هیچ روش درمانی پزشکی به صورت صد درصدی عاری از عارضه نیست و ایمپلنت دندان نیز می تواند در برخی شرایط با عوارضی همراه باشد. آگاهی بیماران از عوارض احتمالی ایمپلنت دندان، علل ایجاد آنها و راه های پیشگیری، نقش بسیار مهمی در افزایش موفقیت درمان و کاهش نگرانی های قبل و بعد از جراحی دارد. در این مقاله تلاش شده است تمامی عوارض کوتاه مدت و بلندمدت ایمپلنت دندان به زبان ساده اما علمی و بر اساس جدیدترین مطالعات معتبر جهانی بررسی شود تا بیماران با دیدی واقع بینانه تصمیم گیری کنند. توجه داشته باشید که این متن صرفا برای افزایش آگاهی نوشته شده و به هیچ عنوان جایگزین ویزیت و درمان پزشکی نیست و برای تشخیص و درمان هرگونه مشکل باید حتما به دندانپزشک یا متخصص جراحی فک و صورت مراجعه شود.
در ادامه این راهنمای کامل بیماران، ابتدا به تعریف عوارض ایمپلنت دندان و دسته بندی آنها می پردازیم، سپس شایع ترین عوارض پس از جراحی مانند درد، تورم، عفونت و پس زدن ایمپلنت را توضیح می دهیم و در بخش های بعدی به عوارض دیررس مثل تحلیل استخوان، مشکلات لثه و شکست ایمپلنت اشاره خواهیم کرد. همچنین عوامل خطر فردی و پزشکی که احتمال بروز این عوارض را افزایش می دهند بررسی می شوند. در نهایت، راهکارهای علمی و عملی برای پیشگیری از عوارض ایمپلنت دندان، مراقبت های قبل و بعد از جراحی، نقش مهارت دندانپزشک و اهمیت پیگیری های منظم ارائه خواهد شد. اگر قصد انجام ایمپلنت دارید یا به تازگی این درمان را انجام داده اید، مطالعه کامل این مقاله می تواند به شما کمک کند با آگاهی بیشتری مسیر درمانی خود را طی کنید.
- تعریف عوارض ایمپلنت دندان
- عوارض کوتاه مدت ایمپلنت دندان
- عفونت اطراف ایمپلنت و علل آن
- پس زدن یا شکست ایمپلنت دندان
- عوارض بلند مدت ایمپلنت دندان
- عوامل خطر موثر بر عوارض ایمپلنت
- راه های پیشگیری از عوارض ایمپلنت دندان
- مراقبت های بعد از ایمپلنت برای بیماران
- نتیجه گیری
- سوالات متداول
تعریف عوارض ایمپلنت دندان و اهمیت شناخت آنها
عوارض ایمپلنت دندان به مجموعه ای از مشکلات و واکنش های ناخواسته گفته می شود که ممکن است پس از جراحی کاشت ایمپلنت یا در طول زمان استفاده از آن ایجاد شوند. این عوارض می توانند خفیف و موقتی باشند، مانند درد یا تورم اولیه، یا در موارد نادر شدیدتر و نیازمند مداخله درمانی فوری باشند. شناخت این عوارض به بیماران کمک می کند تا بین واکنش های طبیعی بدن و نشانه های هشدار دهنده تمایز قائل شوند و در زمان مناسب به دندانپزشک مراجعه کنند. بسیاری از مطالعات نشان داده اند که اطلاع رسانی دقیق به بیماران قبل از درمان، میزان رضایت و موفقیت ایمپلنت را به طور قابل توجهی افزایش می دهد.

اهمیت شناخت عوارض ایمپلنت دندان تنها به کاهش ترس بیماران محدود نمی شود، بلکه نقش مهمی در پیشگیری و درمان به موقع مشکلات دارد. زمانی که بیمار بداند چه علائمی طبیعی هستند و چه علائمی غیرطبیعی محسوب می شوند، همکاری بهتری با تیم درمانی خواهد داشت. علاوه بر این، آگاهی از عوارض بالقوه باعث می شود بیماران به توصیه های قبل و بعد از جراحی، مانند رعایت بهداشت دهان، مصرف داروها و مراجعه منظم برای معاینه، پایبندتر باشند که این موضوع مستقیما بر طول عمر ایمپلنت تاثیر می گذارد.
عوارض کوتاه مدت ایمپلنت دندان پس از جراحی
عوارض کوتاه مدت ایمپلنت دندان معمولا در روزها یا هفته های ابتدایی پس از جراحی مشاهده می شوند و در اغلب موارد طبیعی و قابل کنترل هستند. شایع ترین این عوارض شامل درد، تورم، کبودی و خونریزی خفیف در ناحیه جراحی است. این واکنش ها نتیجه پاسخ طبیعی بدن به جراحی و دستکاری بافت استخوان و لثه می باشند. شدت این علائم به میزان جراحی، تعداد ایمپلنت ها، وضعیت سلامت عمومی بیمار و مهارت دندانپزشک بستگی دارد.
در اغلب بیماران، درد و تورم طی چند روز کاهش می یابد و با استفاده از مسکن های تجویز شده، کمپرس سرد و استراحت کافی کنترل می شود. با این حال، اگر درد شدید، تورم فزاینده یا خونریزی بیش از حد ادامه دار شود، می تواند نشانه بروز مشکل باشد و باید سریع ارزیابی شود. رعایت دقیق دستورالعمل های بعد از جراحی نقش کلیدی در کاهش این عوارض کوتاه مدت دارد و معمولا با مراقبت مناسب، این مرحله بدون مشکل خاصی پشت سر گذاشته می شود.
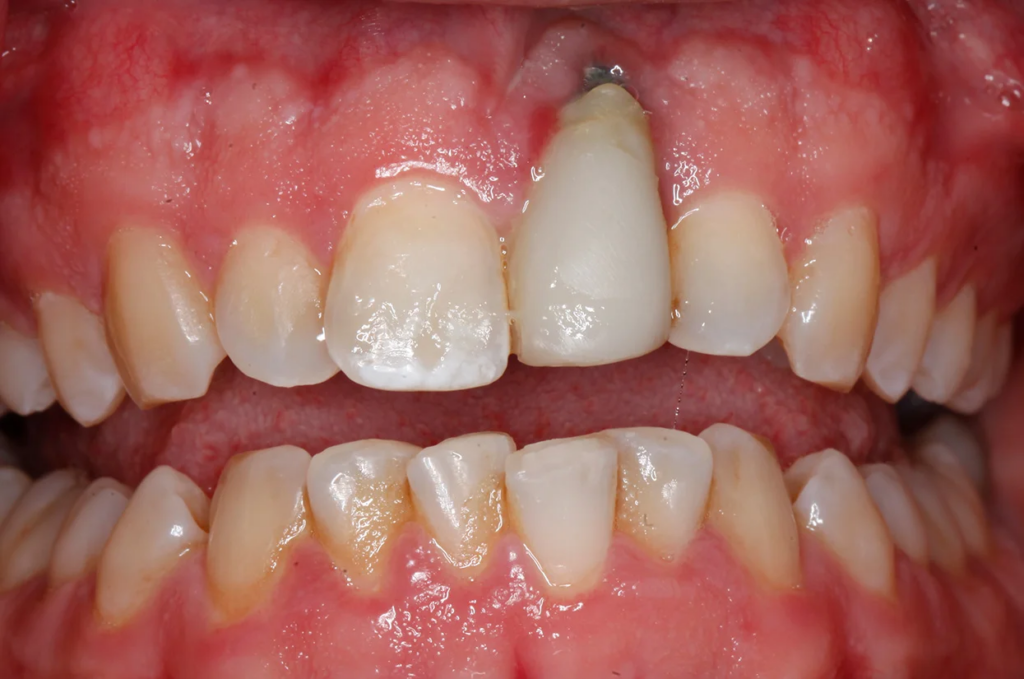
عفونت اطراف ایمپلنت دندان و علل ایجاد آن
عفونت یکی از جدی ترین عوارض احتمالی ایمپلنت دندان است که می تواند در مراحل اولیه یا حتی ماه ها و سال ها بعد از کاشت رخ دهد. عفونت اطراف ایمپلنت که به آن پری ایمپلنتیت گفته می شود، معمولا به دلیل تجمع باکتری ها در اطراف ایمپلنت و بافت لثه ایجاد می شود. عدم رعایت بهداشت دهان، سیگار کشیدن، بیماری های سیستمیک مانند دیابت کنترل نشده و کیفیت پایین استخوان فک از عوامل مهم در بروز این عارضه هستند.

علائم عفونت ایمپلنت می تواند شامل درد مداوم، تورم، قرمزی لثه، ترشح چرک، بوی بد دهان و در موارد پیشرفته تحلیل استخوان اطراف ایمپلنت باشد. تشخیص و درمان زودهنگام عفونت نقش تعیین کننده ای در حفظ ایمپلنت دارد. در مراحل اولیه، درمان دارویی و تمیز کردن حرفه ای ناحیه ممکن است کافی باشد، اما در موارد پیشرفته تر، مداخلات جراحی یا حتی خارج کردن ایمپلنت ضرورت پیدا می کند. به همین دلیل مراجعه منظم برای معاینه بسیار اهمیت دارد.
پس زدن یا شکست ایمپلنت دندان چیست؟
پس زدن ایمپلنت دندان به وضعیتی گفته می شود که اتصال مناسب بین ایمپلنت و استخوان فک برقرار نشود یا این اتصال در طول زمان از بین برود. این فرآیند که استئواینتگریشن نام دارد، اساس موفقیت ایمپلنت است و هر عاملی که آن را مختل کند می تواند منجر به شکست درمان شود. شکست ایمپلنت ممکن است در ماه های اول پس از کاشت یا حتی سال ها بعد رخ دهد و اگرچه نادر است، اما برای بیمار تجربه ای نگران کننده محسوب می شود.
عوامل متعددی در پس زدن ایمپلنت نقش دارند که از جمله آنها می توان به کیفیت پایین استخوان، فشار بیش از حد هنگام جویدن، عفونت، سیگار کشیدن و برخی بیماری های زمینه ای اشاره کرد. علائم شکست ایمپلنت شامل لق شدن، درد هنگام جویدن و التهاب پایدار لثه است. در صورت تشخیص به موقع، گاهی امکان درمان و جایگزینی ایمپلنت وجود دارد، اما پیشگیری همواره بهترین راهکار محسوب می شود.
عوارض بلند مدت ایمپلنت دندان در گذر زمان
عوارض بلند مدت ایمپلنت دندان معمولا پس از گذشت ماه ها یا سال ها از درمان بروز می کنند و اغلب به مراقبت های ضعیف یا تغییرات تدریجی در بافت استخوان و لثه مرتبط هستند. تحلیل استخوان اطراف ایمپلنت یکی از این مشکلات است که می تواند به دلیل التهاب مزمن، فشار نامناسب یا بیماری های لثه ایجاد شود. تحلیل استخوان در نهایت ممکن است پایداری ایمپلنت را به خطر بیندازد.
از دیگر عوارض بلند مدت می توان به مشکلات زیبایی مانند عقب رفتن لثه، نمایان شدن بخشی از ایمپلنت یا تغییر رنگ بافت اطراف اشاره کرد. این موارد به خصوص در ناحیه دندان های جلویی اهمیت بیشتری دارند. معاینات دوره ای، تنظیم صحیح روکش ایمپلنت و رعایت بهداشت دهان نقش مهمی در پیشگیری از این عوارض دارند و باعث می شوند ایمپلنت برای سال های طولانی بدون مشکل باقی بماند.
عوامل خطر موثر بر بروز عوارض ایمپلنت دندان
برخی عوامل فردی و پزشکی می توانند احتمال بروز عوارض ایمپلنت دندان را افزایش دهند و شناخت آنها برای انتخاب صحیح بیمار ضروری است. مصرف دخانیات یکی از مهم ترین عوامل خطر است که روند ترمیم استخوان و لثه را مختل می کند. همچنین بیماری هایی مانند دیابت کنترل نشده، پوکی استخوان، بیماری های خودایمنی و مصرف برخی داروها می توانند موفقیت ایمپلنت را تحت تاثیر قرار دهند.

علاوه بر شرایط پزشکی، عوامل مرتبط با درمان نیز اهمیت دارند. تجربه و مهارت دندانپزشک، کیفیت مواد ایمپلنت، برنامه ریزی دقیق درمان و انجام تصویربرداری های لازم قبل از جراحی نقش تعیین کننده ای در کاهش عوارض دارند. به همین دلیل انتخاب آگاهانه مرکز درمانی و دندانپزشک متخصص یکی از مهم ترین گام ها در پیشگیری از مشکلات بعدی است.
راه های پیشگیری از عوارض ایمپلنت دندان
پیشگیری از عوارض ایمپلنت دندان از مرحله قبل از جراحی آغاز می شود. ارزیابی دقیق وضعیت سلامت عمومی بیمار، انجام آزمایش ها و تصویربرداری های لازم و برنامه ریزی مناسب درمان، پایه های موفقیت ایمپلنت هستند. ترک سیگار، کنترل بیماری های مزمن و رعایت بهداشت دهان قبل از جراحی می تواند ریسک عوارض را به میزان قابل توجهی کاهش دهد.
پس از جراحی نیز رعایت توصیه های دندانپزشک اهمیت بالایی دارد. استفاده منظم از مسواک و نخ دندان مخصوص ایمپلنت، مصرف داروهای تجویز شده، اجتناب از فشار زیاد روی ایمپلنت در دوره ترمیم و مراجعه منظم برای معاینه و جرم گیری حرفه ای از مهم ترین اقدامات پیشگیرانه هستند. پیشگیری یک فرآیند مداوم است و تنها به روزهای اولیه پس از جراحی محدود نمی شود.
مراقبت های بعد از ایمپلنت دندان برای بیماران
مراقبت های بعد از ایمپلنت دندان نقش کلیدی در کاهش عوارض و افزایش طول عمر ایمپلنت دارند. در روزهای اولیه، استراحت کافی، استفاده از کمپرس سرد، پرهیز از مصرف غذاهای سفت و رعایت بهداشت دهان طبق دستور توصیه می شود. بیماران باید از دستکاری ناحیه جراحی با زبان یا انگشت خودداری کنند تا فرآیند ترمیم به درستی انجام شود.
در بلندمدت، رعایت بهداشت دهان به صورت روزانه و دقیق اهمیت دوچندان دارد. مسواک زدن حداقل دو بار در روز، استفاده از نخ دندان یا برس های بین دندانی و دهانشویه های مناسب به کاهش تجمع پلاک کمک می کند. همچنین معاینات منظم هر شش ماه یک بار توسط دندانپزشک امکان تشخیص زودهنگام مشکلات و پیشگیری از عوارض جدی را فراهم می سازد.
نتیجه گیری
ایمپلنت دندان روشی ایمن و موثر برای جایگزینی دندان های از دست رفته است، اما مانند هر درمان پزشکی دیگری می تواند با عوارض احتمالی همراه باشد. شناخت این عوارض، عوامل خطر و راه های پیشگیری به بیماران کمک می کند تا با آگاهی و آرامش بیشتری وارد فرآیند درمان شوند. بیشتر عوارض ایمپلنت با انتخاب صحیح بیمار، مهارت دندانپزشک و رعایت دقیق مراقبت های بهداشتی قابل پیشگیری یا کنترل هستند.
در نهایت، مهم ترین نکته این است که هرگونه علامت غیرطبیعی پس از ایمپلنت نباید نادیده گرفته شود. مراجعه به موقع به دندانپزشک می تواند از بروز مشکلات جدی جلوگیری کند و طول عمر ایمپلنت را افزایش دهد. این مقاله تنها با هدف افزایش آگاهی نوشته شده و جایگزین توصیه یا درمان تخصصی پزشکی نیست.
سوالات متداول بیماران درباره عوارض ایمپلنت دندان
آیا ایمپلنت دندان همیشه با عارضه همراه است؟
خیر، بیشتر بیماران ایمپلنت را بدون عارضه جدی تجربه می کنند و عوارض احتمالی معمولا خفیف و قابل کنترل هستند.
عفونت ایمپلنت چقدر شایع است؟
عفونت ایمپلنت نسبت به سایر عوارض کمتر شایع است و با رعایت بهداشت دهان و معاینات منظم، احتمال آن بسیار کاهش می یابد.
در صورت پس زدن ایمپلنت چه باید کرد؟
در صورت مشاهده علائمی مانند لق شدن یا درد مداوم، باید سریعا به دندانپزشک مراجعه شود تا امکان درمان یا جایگزینی بررسی گردد.
منابع علمی معتبر:
https://www.ncbi.nlm.nih.gov//
https://www.sciencedirect.com/

